Л.Нанжид: Сээр цохиход зөөлөн эд гэмтэж, гараа тайруулах ч эрсдэлтэй

Сүүлийн үед цахим орчноор сээр цохиж буй бичлэгүүд тренд болоод байгаа юм. Үүнтэй холбоотойгоор Гэмтэл согог судлалын үндэсний төвийн Гар сарвуу нөхөн сэргээх бичил мэс заслын тасгийн эрхлэгч Л.Нанжид олон нийтэд хандаж анхааруулга зөвлөмж мэдээлэв.
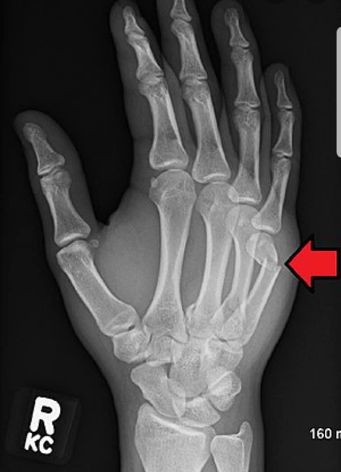
"Сээрний ясыг гараараа цохих нь шууд утгаараа, ясыг ясаар цохиж байгаа хэрэг. Мэдээж аль нэг яс нь хугарна. Сээрний яс хугарах нь хэнд ч хамаагүй, үр өгөөжгүй. Харин тухайн хүний өөрийнх нь яс хугарвал хохиролтой. Мөн зөөлөн эд гэмтсэнээр хаван, хавдар үүсэж нян бактери бий болно. Үүнээс болж гараа тайруулах ч эрсдэлтэй. Ямар нэг гадны шалтгаангүй, зүгээр байж байгаад энэ мэт өөрийгөө гэмтээж хохирох, эмч нарын ачааллыг нэмэх нь асуудал дагуулж байна.

Сээрний яс хугарах нь хэнд ч хамаагүй, үр өгөөжгүй. Харин тухайн хүний өөрийнх нь яс хугарвал хохиролтой. Мөн зөөлөн эд гэмтсэнээр хаван, хавдар үүсэж, нян бактери бий болно. Үүнээс болж гараа тайруулах ч эрсдэлтэй.
Мөн зарим залуус “Өөрийнхөө гараар юу хийх нь өөрт чинь хамаагүй. Эмчилж эдгээх нь чиний хийх ёстой ажил" гэсэн байдлаар хандах нь бий. Гэхдээ ямар ч ач холбогдолгүй зүйлээс болж \сээрний яс\ өөрийгөө гэмтээхгүй байгаасай, өөрийгөө бүү хохироогоосой гэсэндээ л эмч нар сэрэмжлүүлэг, зөвлөмж өгдөг юм шүү" гэв.
СЭТГЭГДЭЛ БИЧИХ